+90 501 114 3010
info@legendary-treatment.com
Professional Doctors

And Friendly Staff

Affordable Prices

With Surprise Discounts

Free Consultation

And Medical Counseling

Dental Implant

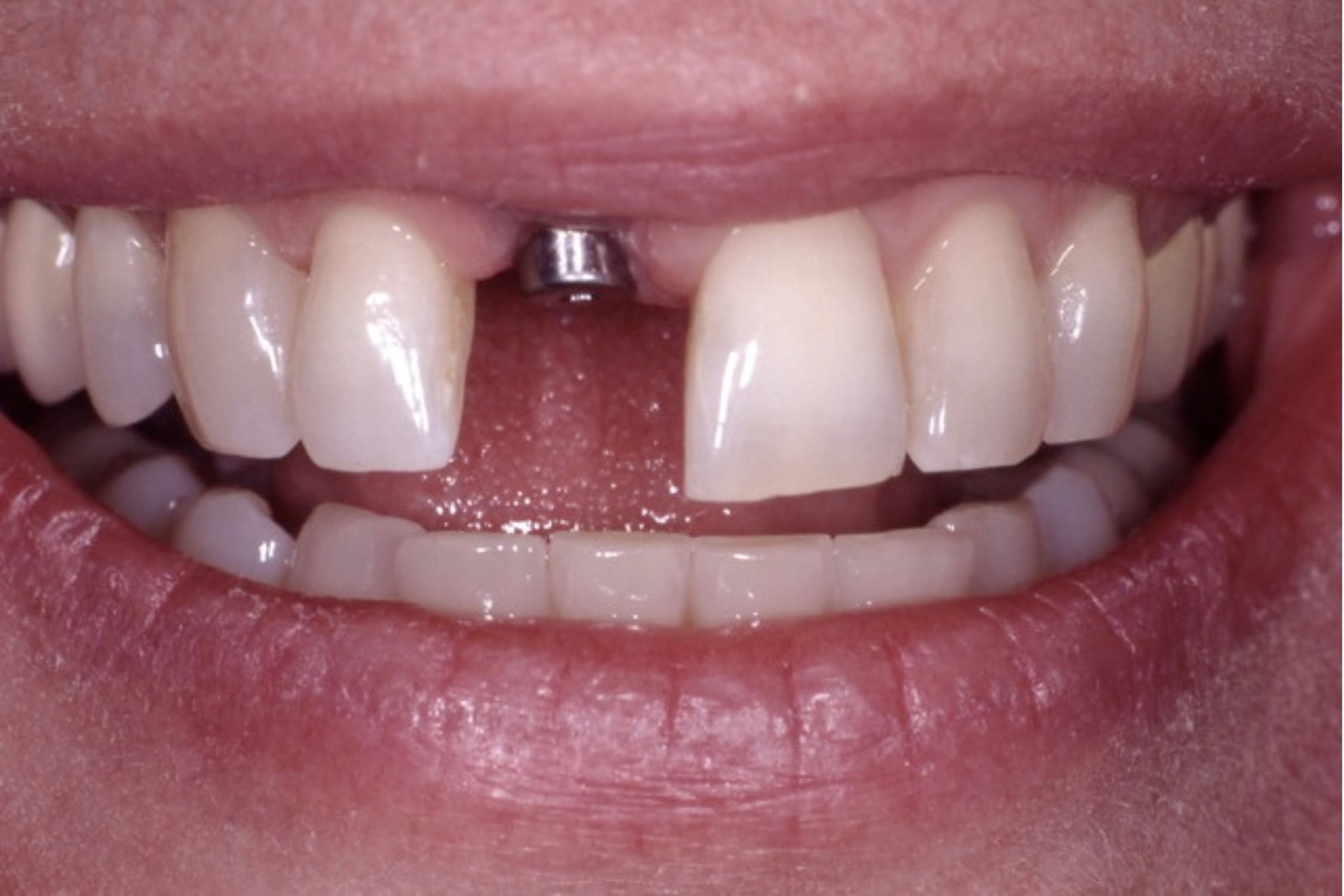
What is a Dental Implant?

A dental implant is a permanent and natural-looking solution for missing teeth, designed to restore both function and aesthetics. It consists of a biocompatible titanium post that is surgically placed into the jawbone, acting as a strong foundation for a custom-made crown, bridge, or denture. Unlike traditional dentures or bridges, dental implants look, feel, and function just like natural teeth, allowing you to eat, speak, and smile with confidence.

What Are the Types of Dental Implants?

There are several types of dental implants, each designed to meet different needs:

Endosteal Implants – The most common type, placed directly into the jawbone and topped with a crown or bridge.
Subperiosteal Implants – Placed under the gum but above the jawbone, ideal for those with insufficient bone density.
All-on-4 / All-on-6 Implants – A full-mouth restoration using just four or six implants to support an entire arch of teeth.
Zygomatic Implants – Longer implants anchored in the cheekbone for patients with severe jawbone loss.

Each type is tailored to the patient’s specific needs, ensuring the best possible outcome.

How Are Dental Implants Performed? Which Techniques Are Used?

The dental implant procedure is a multi-step process performed under local anesthesia or sedation for maximum comfort. It involves:

  1. Consultation & Planning – A detailed examination, including X-rays or 3D scans, to determine the best approach.
  2. Implant Placement – The titanium post is surgically inserted into the jawbone.
  3. Healing & Osseointegration – The bone fuses with the implant over a few months, creating a stable foundation.
  4. Abutment & Crown Placement – Once healed, a connector (abutment) is placed, followed by a custom-made crown or prosthetic tooth.

Advanced techniques like Flapless Implant Surgery (Minimally Invasive), Guided Implant Surgery, and Immediate Loading (Same-Day Implants) are used to improve precision, reduce healing time, and enhance comfort.

Who Qualifies for Dental Implants?

✔ Individuals with missing teeth who want a permanent solution.
✔ Patients with good oral and general health.
✔ Those with sufficient jawbone density (or candidates for bone grafting).
✔ People looking for a comfortable and natural alternative to dentures.

If you’re unsure whether implants are right for you, a consultation with an expert will help determine the best option.

Before Dental Implant Surgery

Proper preparation is key to a successful implant procedure. Before surgery, patients should:

✔ Maintain good oral hygiene to ensure healthy gums.
✔ Stop smoking and alcohol consumption to improve healing.
✔ Avoid blood-thinning medications (if advised by the dentist).
✔ Follow a nutritious diet to strengthen bones and tissues.

Following these steps helps create ideal conditions for a smooth recovery.

After Dental Implant Surgery

After the procedure, mild swelling or discomfort may occur, but these can be managed with pain relievers and proper aftercare. Here’s what to expect:

✔ Stick to a soft-food diet for a few days.
✔ Avoid hard, sticky, or very hot foods.
✔ Follow oral hygiene instructions to prevent infection.
✔ Attend regular follow-ups to monitor healing.

Within a few months, the implant fully integrates, and you can enjoy your new, permanent teeth with no restrictions!

What Are the Advantages of Dental Implants?

Permanent & Durable – Designed to last a lifetime with proper care.
Natural Appearance – Looks, feels, and functions just like real teeth.
Prevents Bone Loss – Helps maintain facial structure and prevents jawbone shrinkage.
No Slipping or Discomfort – Unlike dentures, implants stay securely in place.
Improves Chewing & Speech – Allows you to eat your favorite foods and speak clearly.
Enhances Confidence – A radiant, gap-free smile boosts self-esteem.

With dental implants, you don’t just replace missing teeth you restore your quality of life.

Why Should I Get a Dental Implant in Turkey?

Turkey is one of the leading destinations for dental tourism, known for:

World-class dental clinics with advanced technology.
Highly experienced implant specialists offering top-quality care.
Affordable prices—a fraction of what you’d pay in Europe or the USA.
All-inclusive treatment packages, including accommodation and transfers.
Short waiting times and efficient procedures.

At Legendary Treatment, we provide exceptional dental implant services with a focus on comfort, precision, and long-lasting results.

How Much Do Dental Implants Cost in Turkey?

The cost of dental implants in Turkey is significantly lower than in Western countries while maintaining world-class standards. These prices typically include the implant, abutment, crown, consultations, and post-operative care. The price of dental implants in Turkey is influenced by several factors, including the complexity of the procedure, the surgeon’s credentials, the clinic’s location, and the level of aftercare provided. Turkey has become a global leader in medical tourism, offering competitive pricing without sacrificing safety or quality. While exact costs vary, patients can expect transparent pricing structures that often include pre-operative consultations, post-operative care, and even accommodation packages.

If you’re looking for high-quality, affordable dental implants, Turkey is the perfect destination. Contact us today for a free consultation and take the first step toward a confident new smile!